Case of the Week   Case 1



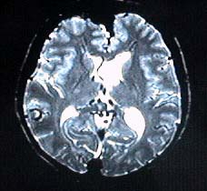
MRI T2WI image 40歳代後半の女性 2年前より右視力が低下し、最近はほとんど失明状態になった。
また、左眼の視力も低下してきた。
今回のMRI(T2強調画像)を示す。
この画像から考えられる疾患をあげなさい。
もちろん、一つの疾患には決まらない。




答えのページへ 今週の症例のページ
ホームページへ Eメール